심미치료 클리닉

“잃었던 미소, 다시 빛나게 하다”

기능을 넘어, 삶을 회복하는 심미치료

심미치료 클리닉

“잃었던 미소, 다시 빛나게 하다”

기능을 넘어, 삶을 회복하는 심미치료

SEOUL RHUBARB DENTAL CLINIC

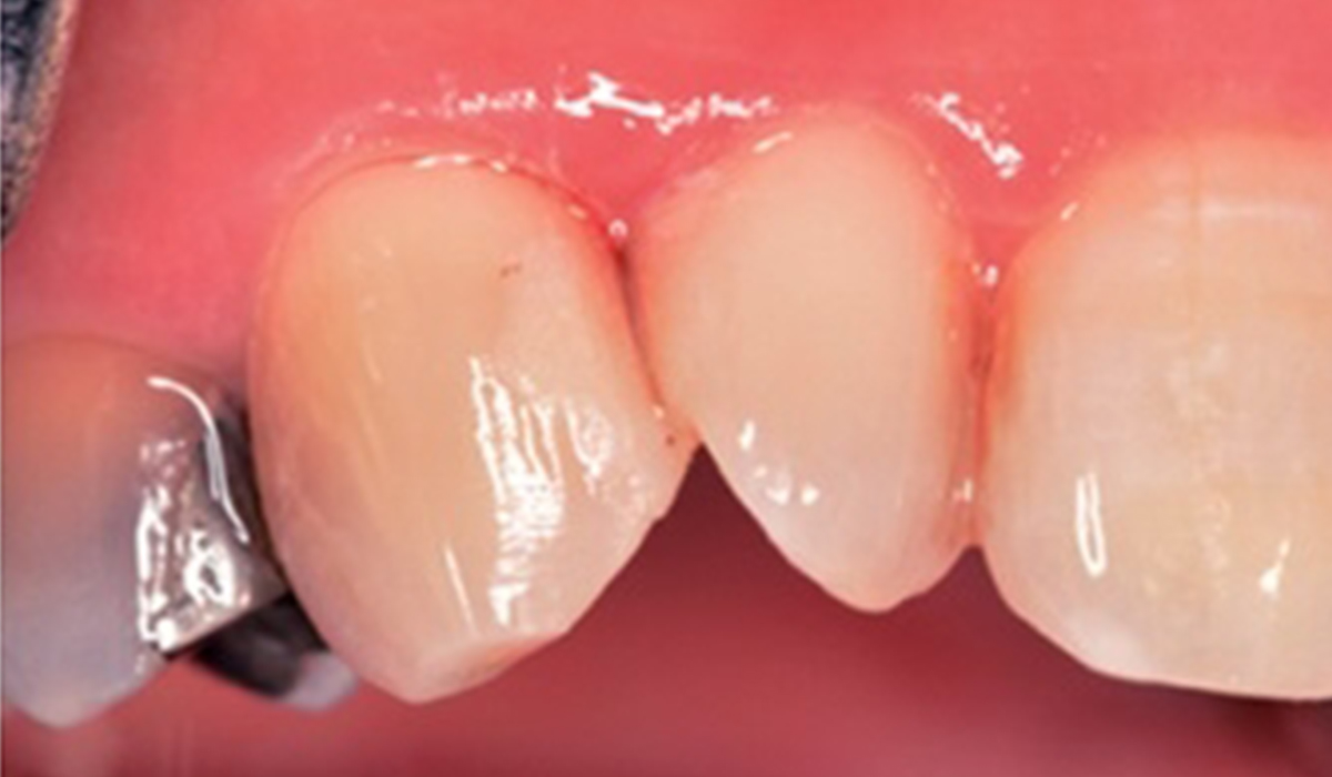
PDRN 성분을 이용한 잇몸재생술식

PDRN은 연어 DNA 유래 성분으로, 손상된 조직을 회복시키는 강력한 재생 유도 물질입니다. 본 클리닉은 PDRN을 이용한 잇몸 주입술을 통해, 퇴축되거나 얇아진 잇몸 조직을 자극 없이 회복시키고, 건강하고 탄력 있는 잇몸 상태를 되찾을 수 있도록 돕습니다. 수술적 접근 없이도 자연스럽고 미적인 잇몸 라인을 만들 수 있어, 통증과 회복 부담이 적습니다.

SEOUL RHUBARB DENTAL CLINIC

PDRN 성분을

이용한 잇몸재생술식

PDRN은 연어 DNA 유래 성분으로, 손상된 조직을 회복시키는 강력한 재생 유도 물질입니다. 본 클리닉은 PDRN을 이용한 잇몸 주입술을 통해, 퇴축되거나 얇아진 잇몸 조직을 자극 없이 회복시키고, 건강하고 탄력 있는 잇몸 상태를 되찾을수 있도록 돕습니다. 수술적 접근 없이도 자연스럽고 미적인 잇몸 라인을 만들 수 있어, 통증과 회복 부담이 적습니다.

SEOUL RHUBARB DENTAL CLINIC

이런 분들께 추천합니다.

PDRN 잇몸재생술은 대화 시 치아 사이가 비어 보이거나, 어금니 쪽 잇몸이 내려가 음식물이 자주 끼는 분께 권장되는 치료입니다.
이 시술은 단순히 심미적인 개선을 넘어, 잇몸의 건강과 치아 기능 회복을 우선으로 하여 보다 편안한 구강 환경을 만들어 드립니다.

SEOUL RHUBARB DENTAL CLINIC

이런 분들께 추천합니다.

PDRN 잇몸재생술은 대화 시 치아 사이가

비어 보이거나, 어금니 쪽 잇몸이 내려

 음식물이 자주 끼는 분께 권장되는 치료입니다.
이 시술은 단순히 심미적인 개선을 넘어,

잇몸의 건강과 치아 기능 회복을 우선으로 하여

보다 편안한 구강 환경을 만들어 드립니다.

기능은 물론, 인상까지 회복하는 심미치료

건강한 잇몸과 조화를 이루는 아름다운 치아 라인, 그리고

생기 있는 인상은 심미 치료의 핵심입니다.

본 클리닉은 단순한 미백이나 보철을 넘어서, 잇몸까지 회복시키는

재생 중심의 심미 치료를 제공합니다.

 

기능은 물론, 인상까지 회복하는 심미치료

건강한 잇몸과 조화를 이루는 아름다운 치아 라인,

그리고 생기 있는 인상은 심미 치료의 핵심입니다.

본 클리닉은 단순한 미백이나 보철을 넘어서,

잇몸까지 회복시키는 재생 중심의 심미 치료

제공합니다.

 

SEOUL RHUBARB DENTAL CLINIC

잇몸재생술 시술단계

PDRN 재생술은 수술 없이도 눈에 띄는 결과를 만들어냅니다.
환자들의 실제 사례를 통해 자연스러운 회복의 과정을 경험해보세요.

1단계

정밀 진단 및 잇몸 상태 분석

3D 구강 스캔과 사진 진단을 통해

심미 라인을 분석합니다.

2단계

PDRN 주입 및 재생 유도

필요한 부위에 미세하게 주입하여 염증을 억제하고

세포 재생을 유도합니다.

3단계

경과 관찰 및 2차 시술 여부 판단

2~3주 간격으로 상태를 모니터링하고,

필요 시 추가 시술을 진행합니다.

4단계

최종 심미 라인 디자인

치아와 잇몸이 가장 아름다운 조화를 이루도록

전체적인 라인을 조정합니다.

SEOUL RHUBARB DENTAL CLINIC

잇몸재생술 시술단계

PDRN 재생술은 수술 없이도 눈에 띄는

결과를 만들어냅니다. 환자들의 실제 사례를

통해 자연스러운 회복의 과정을 경험해보세요.

1단계

정밀 진단 및
잇몸 상태 분석

3D 구강 스캔과 사진 진단을 통해

심미 라인을 분석합니다.

2단계

PDRN 주입 및 재생 유도

필요한 부위에 미세하게 주입하여

염증을 억제하고 세포 재생을

유도합니다.

3단계

경과 관찰 및
2차 시술 여부 판단

2~3주 간격으로 상태를 모니터링하고,

필요 시 추가 시술을 진행합니다.

4단계

최종 심미 라인 디자인

치아와 잇몸이 가장 아름다운

조화를 이루도록 전체적인

라인을 조정합니다.

FAQ

자주하는 질문

궁금한 사항은 언제든지 편하게 문의주시면 친절하게 상담해드리겠습니다.

PDRN 잇몸재생술은 어떤 원리로 잇몸을 회복시키나요?

PDRN은 연어 DNA에서 추출한 생체 재생물질로, 인체 조직 재생을 유도하는 데 효과적인 성분입니다.
잇몸에 소량을 미세하게 주입하면 손상된 세포의 재생을 촉진하고 염증 반응을 줄이는 작용을 합니다.


특히 잇몸이 얇아졌거나 퇴축된 부위에 적용하면, 조직이 탄력을 되찾고 색도 건강하게 회복되는 효과를 기대할 수 있습니다.

자연 치유력을 이용한 비수술적 치료이기 때문에 회복 부담이 적고, 안전성도 높습니다.


PDRN은 주름 개선이나 피부 재생에 사용되던 재료로, 치과에서도 심미 목적의 재생술에 활용되고 있습니다.
본 클리닉에서는 셀베인주와 같은 검증된 제품을 사용하여 치료의 안전성과 효과를 더욱 높이고 있습니다.

잇몸이 퇴축된 정도에 따라 회복 가능성이 달라질 수 있습니다.
경미한 잇몸 퇴축의 경우, PDRN 주사만으로도 재생이 가능하며 눈에 띄는 심미적 개선이 나타납니다.
하지만 중등도 이상의 잇몸 퇴축이 있는 경우에는 수술적 잇몸 이식술과 병행해야 할 수도 있습니다.

 

PDRN 잇몸재생술은 치료 후 염증이 줄어들고, 잇몸이 더욱 촉촉하고 건강해 보이는 차이를 느낄 수 있습니다.
퇴축되었던 잇몸이 점차 원래의 높이와 생기를 되찾으면서, 치아 전체의 인상이 개선됩니다.
특히 웃을 때 잇몸이 많이 드러나는 분들의 경우, 자연스럽고 건강한 잇몸색을 통해 인상이 훨씬 밝아집니다.

단순한 미백이나 필러와는 다른, 본연의 건강함을 되찾는 치료로 많은 환자들이 만족하고 있습니다.

PDRN 잇몸 주사 치료는 비수술적 방법으로 진행되기 때문에, 시술 후 일상생활에 지장을 주지 않습니다.
마취 크림 또는 무통 주사로 시술하므로 통증은 거의 없으며, 시술 직후에도 식사나 대화에 큰 불편함이 없습니다. 

(딱딱한 음식이나, 육류와 같은 이에 낄 수 있는 음식은 피하는 것이 좋습니다. )

드물게 주사 부위에 약간의 붓기나 불편감이 있을 수 있으나, 1~2일 내에 자연스럽게 사라집니다.

 

 

부작용 사례는 매우 드물며, 본 클리닉은 인증받은 정품 PDRN 제품만을 사용해 안전성을 더욱 높였습니다.
또한 치료 후 주의사항과 구강 위생 관리법에 대해서도 충분히 안내해드리기 때문에, 치료 전후 부담 없이 진행하실 수 있습니다.
간단한 시술로 건강한 잇몸과 자신 있는 미소를 동시에 되찾을 수 있습니다.

FAQ

자주하는 질문

궁금한 사항은 언제든지 편하게

문의주시면 친절하게 상담해드리겠습니다.

PDRN 잇몸재생술은 어떤 원리로
잇몸을 회복시키나요?

PDRN은 연어 DNA에서 추출한 생체

재생물질로, 인체 조직 재생을 유도하는데 

효과적인 성분입니다.

잇몸에 소량을 미세하게 주입하면 손상된

세포의 재생을 촉진하고 염증 반응을 줄이는

작용을 합니다.특히 잇몸이 얇아졌거나

퇴축된 부위에 적용하면, 조직이 탄력을

되찾고 색도 건강하게 회복되는 효과를

기대할 수 있습니다.

 

자연 치유력을 이용한 비수술적 치료이기

때문에 회복 부담이 적고, 안전성도 높습니다.

 

PDRN은 주름 개선이나 피부 재생에

사용되던 재료로, 치과에서도 심미 목적의

재생술에 활용되고 있습니다.

본 클리닉에서는 셀베인주와 같은 검증된

제품을 사용하여 치료의 안전성과 효과를

더욱 높이고 있습니다.

 

잇몸이 퇴축된 정도에 따라 회복 가능성이

달라질 수 있습니다. 경미한 잇몸 퇴축의 경우, PDRN 주사만으로도 재생이 가능하며

눈에 띄는 심미적 개선이 나타납니다.


하지만 중등도 이상의 잇몸 퇴축이 있는

경우에는 수술적 잇몸 이식술과 병행해야

할 수도 있습니다.

 

 

PDRN 잇몸재생술은 치료 후 염증이

줄어들고, 잇몸이 더욱 촉촉하고 건강해

보이는 차이를 느낄 수 있습니다.


퇴축되었던 잇몸이 점차 원래의 높이와

생기를 되찾으면서, 치아 전체의 인상이

개선됩니다.


특히 웃을 때 잇몸이 많이 드러나는 분들의

경우, 자연스럽고 건강한 잇몸색을 통해

인상이 훨씬 밝아집니다.

 

단순한 미백이나 필러와는 다른, 본연의

건강함을 되찾는 치료로 많은 환자들이

만족하고 있습니다.

 

PDRN 잇몸 주사 치료는 비수술적 방법으로

진행되기 때문에, 시술 후 일상생활에 지장을

주지 않습니다.


마취 크림 또는 무통 주사로 시술하므로

통증은 거의 없으며, 시술 직후에도 

식사나 대화에 큰 불편함이 없습니다. 

(딱딱한 음식이나, 육류와 같은 이에 낄 수 있는 음식은 피하는 것이 좋습니다. )

 

드물게 주사 부위에 약간의 붓기나 불편감이

있을 수 있으나, 1~2일 내에 자연스럽게

사라집니다.

 

 

부작용 사례는 매우 드물며, 본 클리닉은

인증받은 정품 PDRN 제품만을 사용해

안전성을 더욱 높였습니다.


또한 치료 후 주의사항과 구강 위생 관리법에

대해서도 충분히 안내해드리기 때문에,

치료 전후 부담 없이 진행하실 수 있습니다.


간단한 시술로 건강한 잇몸과 자신 있는

미소를 동시에 되찾을 수 있습니다.

 

더 강하게, 더 오래 !

이중중합형 레진
BONDFILL DUAL 본드필 듀얼

치아를 단단하게 지켜주는 첨단 접착 충전재, 치과 치료의 새로운 기준을 제시합니다.

 

 

BONDFILL DUAL은 햇빛이 닿지 않는 곳에서도 스스로 굳을 수 있는

 ‘이중 안전 장치’를 가진 치과용 접착제입니다.

덕분에 치아 깊은 곳, 잘 보이지 않는 부위까지 안전하게 치료할 수 있습니다.

더 강하게, 더 오래 !

이중중합형 레진
본드필 듀얼

치아를 단단하게 지켜주는 첨단 접착 충전재,

치과 치료의 새로운 기준을 제시합니다.

 

 

BONDFILL DUAL은 햇빛이 닿지 않는

곳에서도 스스로 굳을 수 있는

‘이중 안전 장치’를 가진 치과용 접착제입니다.

 

덕분에 치아 깊은 곳, 잘 보이지 않는 부위까지

안전하게 치료할 수 있습니다.

bondfill dual 뭐가 특별할까요?

일반 레진은 광중합 방식에만 의존하기 때문에 깊은 부위에서는 경화가 제한적일 수 있습니다.
BONDFILL DUAL은  광중합과 화학중합이 동시에 작용하는 ‘이중중합 시스템’ 으로, 가시광선이 닿지 않는 영역까지 안정적인 중합이 가능합니다.
이를 통해 접착력과 내구성이 뛰어나며, 장기적인 보존성과 심미성을 높입니다.

bondfill dual
뭐가 특별할까요?

일반 레진은 광중합 방식에만 의존하기 때문에

깊은 부위에서는 경화가 제한적일 수 있습니다.


BONDFILL DUAL은  광중합과 화학중합이

동시에 작용하는 ‘이중중합 시스템’ 으로, 

가시광선이 닿지 않는 영역까지 안정적인

중합이 가능합니다.


이를 통해 접착력과 내구성이 뛰어나며,

장기적인 보존성과 심미성을 높입니다.

충치 치료부터 크라운·브릿지, 인레이·온레이 접착까지!
치아 깊은 곳까지 든든하게 붙여주는 BONDFILL DUAL로 치료받으실 수 있습니다.

충치 치료부터 크라운·브릿지,

인레이·온레이 접착까지!


치아 깊은 곳까지 

든든하게 붙여주는 BONDFILL DUAL

치료받으실 수 있습니다.

FAQ

자주하는 질문

궁금한 사항은 언제든지 편하게 문의주시면 친절하게 상담해드리겠습니다.

BONDFILL DUAL로 치료하면 얼마나 오래 가나요?

일반 레진보다 접착력이 뛰어나, 치료 수명이 길어집니다. (환자 관리에 따라 7~10년 이상 유지 가능)

국소 마취와 무통 마취 시스템으로 통증을 최소화합니다.

빛이 닿지 않는 깊은 부위까지 확실히 굳는 ‘이중중합 방식’이라 내구성과 안정성이 뛰어납니다.

FAQ

자주하는 질문

궁금한 사항은 언제든지 편하게

문의주시면 친절하게 상담해드리겠습니다.

BONDFILL DUAL로 치료하면
얼마나 오래 가나요?

일반 레진보다 접착력이 뛰어나, 

치료 수명이 길어집니다. 

(환자 관리에 따라 7~10년 이상 유지 가능)

 

국소 마취와 무통 마취 시스템으로

통증을 최소화합니다.

 

빛이 닿지 않는 깊은 부위까지 확실히 굳는

‘이중중합 방식’이라 내구성과 안정성이

뛰어납니다.

 

서울루바브치과의원에서 보다 

편안하고 건강한 미소를 만나보세요.

마치 친한 이웃처럼, 따뜻한 동반자처럼, 

환자분 한 분의 이야기에 깊이 공감하고 함께 길을 걸어가고자 합니다.

서울루바브치과의원에서

보다 편안하고 건강한

미소를 만나보세요.

마치 친한 이웃처럼, 따뜻한 동반자처럼, 

환자분 한 분의 이야기에 깊이 공감하고 함께

길을 걸어가고자 합니다.

정상적으로 접수되었습니다.

담당자가 확인하여

빠른 연락 드리도록 하겠습니다.

감사합니다.

회원가입

또는